Frz. Bulldogge, Freya, 10 Jahre
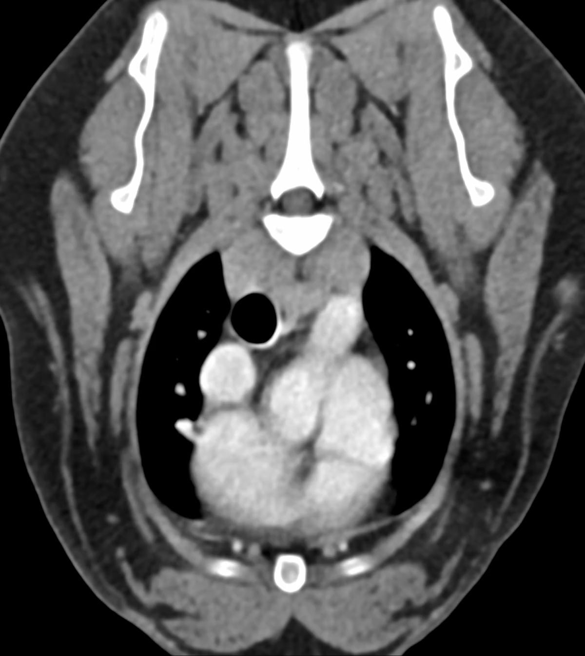
CT-Studie von Mai 2025. Die dargestellte Raumforderung an der Herzbasis war zum Untersuchungszeitpunkt klinisch asymptomatisch.
Diagnose
CT-Untersuchung von Freya: Gut begrenzte, ovoide Raumforderung mit heterogener Kontrastmittelanreicherung (türkise Pfeile) an der Aufzweigung der Pulmonalarterien (PA).
CT-Befund
In der CT-Untersuchung von Freya zeigt sich eine umschriebene, hypervaskularisierte Raumforderung an der Aufzweigung der Pulmonalarterien mit heterogener Kontrastmittelanreicherung. Die gut begrenzte, ovoide Raumforderung ist heterogen weichteilattenuiert und im Durchmesser ca. 2,6 cm groß.
CT-Diagnose
- Weichteilraumforderung Herzbasis
Diskussion
Lokalisation und Morphologie sind charakteristisch für ein Chemodektom des Glomus pulmonale. Hierbei handelt es sich um eine neuroendokrine Neoplasie (neuroendokriner Tumor, NET) der Chemorezeptoren am Truncus pulmonalis. Diese Chemorezeptoren sind zu Glomera organisierte Knäuel und den Paraganglien zugeordnet. Tumoren dieser kreislaufregulatorischen Einrichtungen werden als Chemodektome oder Paragangliome bezeichnet und treten beim Hund häufiger auf als bei der Katze.
Chemodektome sind meist benigne, non-funktional und zeigen eine geringe Metastasierungsrate, können jedoch lokal invasiv wachsen.
Aufgrund ihres langsamen Wachstums bleiben sie häufig asymptomatisch und sind wie bei Freya ein Zufallsbefund. Sie können jedoch kardiale Symptome wie Synkopen, Belastungsintoleranz oder einen plötzlichen Herztod verursachen.
Neben dem Glomus pulmonale können Chemodektome/ Parangangliome auch an anderen Glomera entstehen, bspw. als Glomus-aorticum-Tumor an der Aortenbasis oder als Glomus-caroticum-Tumor an der Aufzweigung der Arteria carotis.
Die Chemorezeptoren der Glomera reagieren auf die Verminderung des Sauerstoffpartialdrucks und des pH-Wertes des Blutes. Die anhaltende Stimulation durch die chronische Hypoxie und die respiratorische Azidose, wie sie im Rahmen des brachyzephalen Atemwegssyndroms auftritt, wird als mögliche Ursache für die erhöhte Prävalenz von Chemodektomen bei brachyzephalen Hunden diskutiert.
Quellen
- Buscaglia NA, Johnson PJ. What Is Your Diagnosis? J Am Vet Med Assoc. 2019;254(4):467-469. doi:10.2460/javma.254.4.467.
- Crawford-Jennings MI, Chavez LD, Loessberg ER, Carvallo-Chaigneau FR. Aortic body tumor with intracardiac metastasis in a dog. J Vet Diagn Invest. 2025 Mar;37(2):345-348. doi: 10.1177/10406387241304438.
- Fife W, Mattoon J, Drost WT, Groppe D, Wellman M. Imaging features of a presumed carotid body tumor in a dog. Vet Radiol Ultrasound. 2003;44(3):322-325. doi:10.1111/j.1740-8261.2003.tb00463.
- Kromhout K, Gielen I, De Cock HE, et al. Magnetic resonance and computed tomography imaging of a carotid body tumor in a dog. Acta Vet Scand. 2012;54:24. doi:10.1186/1751-0147-54-24.
- Mai W, Seiler GS, Lindl-Bylicki BJ, et al. CT and MRI features of carotid body paragangliomas in 16 dogs. Vet Radiol Ultrasound. 2015;56:374-383. doi:10.1111/vru.12251.
- Obradovich JE, Withrow SJ, Powers BE, Walshaw R. Carotid body tumors in the dog. Eleven cases (1978–1988). J Vet Intern Med. 1992;6(2):96-101. doi:10.1111/j.1939-1676.1992.tb03158.
- Wess G. Kardiale und perikardiale Tumoren. In: Kessler M, Hrsg. Kleintieronkologie. 4., vollständig überarbeitete Auflage. Stuttgart: Thieme; 2022:600f.
